ACTH Monoclonal Mouse Antibody (AH26 + 57)
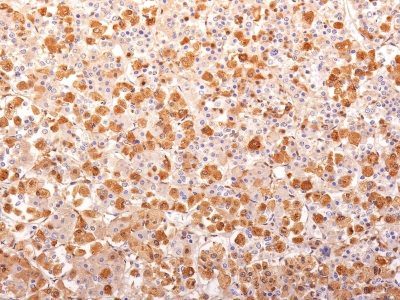
ACTH(与促肾上腺皮质激素相同)是由垂体前叶产生的 39 个氨基酸的活性肽。该 MAb 对 Synacthen(ACTH 的 aa1-24)具有特异性;不与 CLIP(ACTH 的 aa17-39)发生反应。POMC(促阿黑皮素或促肾上腺皮质激素-促脂素)是一种由 267 个氨基酸组成的多肽激素前体,通过转化酶进行广泛的组织特异性翻译后加工。POMC 被切割成十个激素链,分别命名为 NPP、ACTH、α-MSH(促黑素细胞激素)、β-MSH、γ-MSH、CLIP(促肾上腺皮质激素样中间肽)、促脂素-β、促脂素-γ、β-内啡肽和甲氧脑啡肽。ACTH 也由免疫系统细胞(T 细胞、B 细胞和巨噬细胞)产生,以响应与压力相关的刺激。Anti-ACTH 是垂体肿瘤分类和垂体疾病研究的有用标志物。它与产生 ACTH 的细胞(促肾上腺皮质激素)发生反应。它还可能通过分泌 ACTH 与其他肿瘤(例如一些小细胞肺癌)发生反应,从而导致副肿瘤综合征。
可提供纯化的一抗,或带有精选的荧光 CF® 染料和其他标记的一抗。CF® 染料具有出色的亮度和耐光性。有关详细信息,请参阅CF® 染料手册。注意:不推荐使用 CF®405S 和 CF®405M 等蓝色荧光染料的偶联物来检测低丰度目标,因为蓝色染料的荧光较低,与其他染料颜色相比可以产生更高的非特异性背景。
库存状态:由于 Biotium 提供大量抗体和偶联物选项,一抗偶联物可能需要定制。CF® 染料和生物素结合物的典型交货时间最长为 1 周,荧光蛋白和酶结合物的交货时间通常为 2-3 周。
抗体编号 1025 的目录号代码,抗 ACTH (AH26 57)
一抗偶联物的目录号
| Antibody # prefix | Conjugation | Ex/Em (nm) | Laser line | Detection channel | Dye Features |
|---|---|---|---|---|---|
| BNC04 | CF®405S | 404/431 | 405 | DAPI (microscopy), AF405 | CF®405S Features |
| BNC88 | CF®488A | 490/515 | 488 | GFP, FITC | CF®488A Features |
| BNC68 | CF®568 | 562/583 | 532, 561 | RFP, TRITC | CF®568 Features |
| BNC94 | CF®594 | 593/614 | 561 | Texas Red® | CF®594 Features |
| BNC40 | CF®640R | 642/662 | 633-640 | Cy®5 | CF®640R Features |
| BNC47 | CF®647 | 650/665 | 633-640 | Cy®5 | CF®647 Features |
| BNCB | Biotin | N/A | N/A | N/A | |
| BNUB | Purified | N/A | N/A | N/A | |
| BNUM | Purified, BSA-free | N/A | N/A | N/A |
Alexa Fluor、Pacific Blue、Pacific Orange 和 Texas Red 是 Thermo Fisher Scientific 的商标或注册商标;Cy 是 Cytiva 的注册商标;IRDye、LI-COR 和 Odyssey 是 LI-COR Bioscience 的注册商标。



