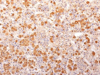
ACTH Monoclonal Mouse Antibody (57)
ACTH(与促肾上腺皮质激素相同)是一种由垂体前叶产生的含有 39 个氨基酸的活性肽。该 MAb 对 Synacthen(ACTH 的 aa1-24)具有特异性;不与 CLIP(ACTH 的 aa17-39)发生反应。POMC(原阿片黑皮质素或促肾上腺皮质激素-促脂素)是一种 267 个氨基酸的多肽激素前体,通过转化酶进行广泛的组织特异性翻译后加工。POMC 被切割成十个激素链,分别命名为 NPP、ACTH、α-MSH(黑色素细胞刺激激素)、β-MSH、γ-MSH、CLIP(促肾上腺皮质激素样中间肽)、Lipotropin-β、Lipotropin-γ、β-内啡肽和脑啡肽。ACTH 也由免疫系统细胞(T 细胞、B 细胞和巨噬细胞)响应与压力相关的刺激而产生。抗ACTH是垂体肿瘤分类和垂体疾病研究的有用标志物。它与产生促肾上腺皮质激素的细胞(促肾上腺皮质激素)发生反应。它也可能通过分泌促肾上腺皮质激素与引起副肿瘤综合征的其他肿瘤(例如一些肺小细胞癌)发生反应。
一抗可提供纯化的,或带有荧光 CF® 染料和其他标记的选择。CF® 染料具有出色的亮度和光稳定性。有关更多信息,请参阅CF® 染料手册。注意:不推荐使用 CF®405S 和 CF®405M 等蓝色荧光染料的偶联物检测低丰度目标,因为蓝色染料的荧光较低,并且比其他染料颜色可以产生更高的非特异性背景。
库存状态:由于 Biotium 提供大量抗体和偶联选择,因此可以订购一抗偶联物。CF® 染料和生物素偶联物的典型交货时间最长为 1 周,荧光蛋白和酶偶联物的交货时间最长为 2-3 周。
抗体编号 0139、抗 ACTH (57) 的目录编号键
一抗偶联物的目录编号键
| Antibody # prefix | Conjugation | Ex/Em (nm) | Laser line | Detection channel | Dye Features |
|---|---|---|---|---|---|
| BNC04 | CF®405S | 404/431 | 405 | DAPI (microscopy), AF405 | CF®405S Features |
| BNC88 | CF®488A | 490/515 | 488 | GFP, FITC | CF®488A Features |
| BNC68 | CF®568 | 562/583 | 532, 561 | RFP, TRITC | CF®568 Features |
| BNC94 | CF®594 | 593/614 | 561 | Texas Red® | CF®594 Features |
| BNC40 | CF®640R | 642/662 | 633-640 | Cy®5 | CF®640R Features |
| BNC47 | CF®647 | 650/665 | 633-640 | Cy®5 | CF®647 Features |
| BNCB | Biotin | N/A | N/A | N/A | |
| BNUB | Purified | N/A | N/A | N/A | |
| BNUM | Purified, BSA-free | N/A | N/A | N/A |
Alexa Fluor、Pacific Blue、Pacific Orange 和 Texas Red 是 Thermo Fisher Scientific 的商标或注册商标;Cy 是 GE Healthcare 的注册商标;IRDye、LI-COR 和 Odyssey 是 LI-COR Bioscience 的注册商标。



